A anatomia dos gatos
Independentemente da altura dos saltos, os gatos caem quase sempre com as quatro patas no chão. Esta capacidade invejável deve-se à constituição física particular dos gatos. Ou seja, o sistema muscular e ósseo destes felinos está em perfeito equilíbrio permitindo-lhes dominar de forma quase perfeita os seus movimentos. Conheça melhor neste artigo a anatomia dos gatos.

© FurryFritz / stock.adobe.com
A anatomia dos gatos permite-lhes dar saltos impressionantes
Sumário
A anatomia dos gatos: doenças do sistema locomotor
O sistema locomotor é constituído pelos músculos, ossos e articulações, incluindo tendões e ligamentos. Este sistema pode sofrer alterações devido a doenças ou acidentes e como resultado os movimentos do gato podem ficar comprometidos.
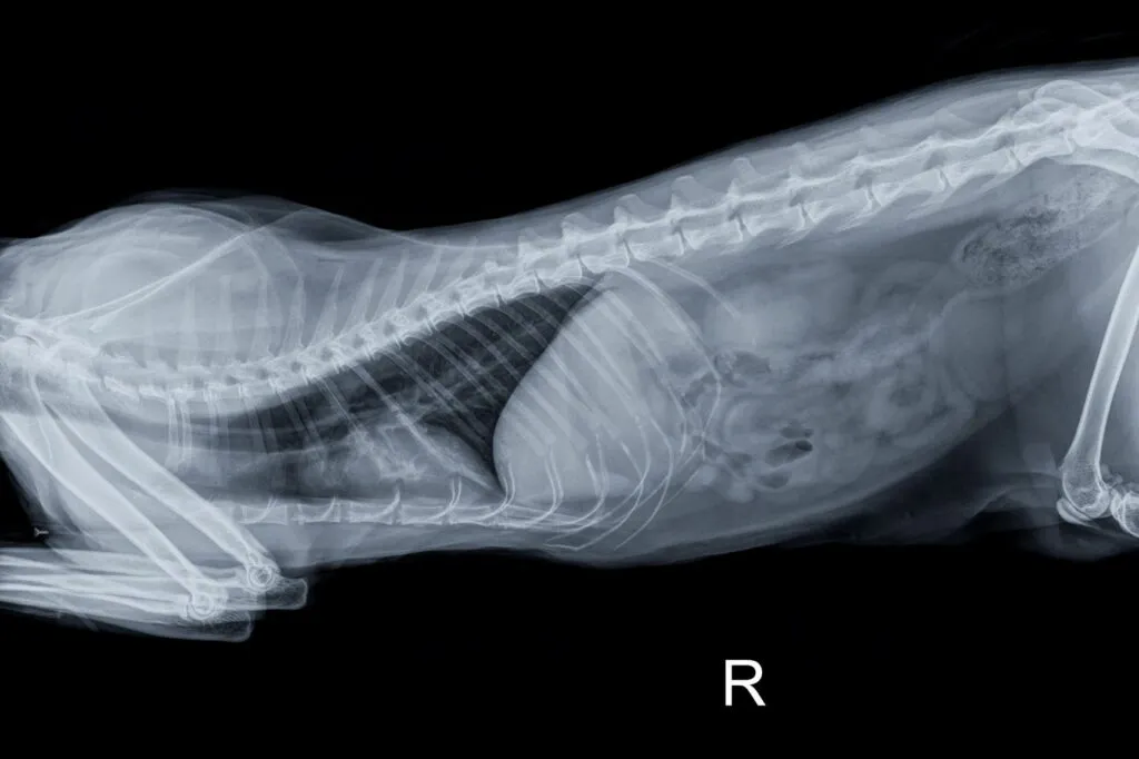
Doenças ósseas
Os ossos dos gatos podem apresentar deformações devido a doenças congénitas ou a uma má alimentação nos primeiros anos de vida. Além disso, os ossos sofrer fraturas em consequência de acidentes com automóveis ou em lutas territoriais particularmente violentas. O veterinário consegue verificar com muita segurança se o gato tem algum osso partido através de um exame por raio X.
© Stefano Garau / stock.adobe.com
Doenças musculares e das articulações nos gatos
São os músculos e as articulações que sustentam todo o corpo dos gatos. Assim, quando os músculos ou as articulações apresentam problemas o corpo e o movimento dos gatos ressente-se. Por exemplo, o gato pode coxear ou andar com dificuldade. Doenças degenerativas das articulações, como a artrose, afetam muitos gatos.
Saiba mais sobre doenças das articulações nos gatos no nosso artigo sobre atrite nos gatos.
Como proteger o sistema locomotor do seu gato
Para manter o sistema locomotor o gato saudável é fundamental dar-lhe uma alimentação adequada. Em primeiro lugar a comida deve ser ajustada à condição física geral do gato. Por exemplo, os gatos seniores não precisam de tanta energia como os gatos jovens e os gatos com doenças renais devem ter uma alimentação pobre em proteínas.
Em segundo lugar deve também certificar-se que o seu gato ingere vitaminas e minerais em quantidade suficiente. Assim, é importante dar atenção às seguintes substâncias para que a anatomia dos gatos não sofra desvios.
A importância de vitaminas e minerais para a anatomia dos gatos
Vitamina A
As vitaminas são substâncias essenciais para bom funcionamento do organismo. Por exemplo, a vitamina A é fundamental para manter saudáveis os olhos, pele e pelo do seu gato. No entanto, há que ter cuidado pois em excesso a vitamina A pode ter um impacto negativo no esqueleto dos gatos. Assim, se o seu gato pesar três quilos, ele não deve ingerir mais do que 300 UI (Unidades Internacionais) de vitamina A por dia.
Vitamina D
A vitamina D regula a absorção de cálcio e fósforo no corpo. Deste modo é fácil compreender que esta vitamina tem um impacto positivo nos ossos e portanto na anatomia dos gatos em geral.
O fígado produz esta vitamina, estimulado pela luz solar. Assim, os gatos de apartamento apresentam frequentemente um deficit de vitamina D. Em consequência, os gatos jovens podem desenvolver raquitismo hipocalcémico, ou seja, os ossos ficam demasiado moles.
Cálcio e fósforo
Atualmente a importância do cálcio para o desenvolvimento e saúde dos ossos é consensual. No entanto, é importante que o cálcio seja ingerido conjuntamente com o fósforo numa proporção de 1,2 para 1.
Descubra mais informações sobre a alimentação dos gatos na secção Comida para gato da zooplus Magazine.
A anatomia dos gatos: O esqueleto
O esqueleto destes felinos tem mais de 230 ossos. não é possível indicar um número exato de ossos pois este depende da raça. Em contrapartida o esqueleto dos seres humanos adultos tem 206 ossos.
© 3drenderings / stock.adobe.com
A cabeça
A cabeça é uma parte fundamental na anatomia dos gatos ou em qualquer outro animal. O formato do crânio de um animal dá muitas informações sobre a espécie, como por exemplo o seu estilo de vida e tipo de alimentação. Assim, ao comparar o crânio de um cão e de um gato vemos que o do gato é mais curto e compacto. O crânio tem como função principal proteger o cérebro. Além disso, as mandibulas superior e inferior alojam cerca de 30 dentes permanentes. Destes sobressaem os caninos extremamente afiados que os gatos, como carnívoros, usam para capturar e comer as suas presas.
A coluna vertebral
Independentemente da espécie de felino que se observe, por exemplo um tigre, um leão ou um gato, a coluna vertebral apresenta de 44 a 58 vértebras:
- 7 vértebras cervicais
- 13 torácicas
- 7 lombares
- 3 sacrais
- 20 a 23 vértebras caudais de acordo com o tamanho da cauda
As vertebras caudais são determinantes para o equilíbrio do gato, assim como uma parte muito importante da anatomia dos gatos. Assim, um gato com mais destas vértebras caudais tem mais equilíbrio e por isso trepa com mais segurança. No entanto, existem raças de gatos que não têm cauda por razões genéticas, como o Manx.
As pernas
A capacidade de saltar e de correr dos gatos é consequência da anatomia das suas pernas. Os gatos têm uma extraordinária capacidade de saltar e ao correr podem atingir até 48 quilómetros por hora. Claro que estas capacidades tornam os gatos excelentes caçadores!
Outra característica especial da anatomia dos gatos é a estrutura da omoplata. Este osso não está ligado às costelas através de uma clavícula, mas antes por ligamentos e músculos. Este aspeto anatómico permite ao gato curvar-se e moldar o corpo de forma a passar por fendas muito estreitas.
Na extremidade de cada perna os gatos têm as patas com garras móveis e afiadas. As patas traseiras têm quatro dedos, enquanto as dianteiras têm cinco. As patas são também muito fortes permitindo aos gatos defenderem-se de predadores e caçarem as presas.